
LIC Aktuelt
Bli inspirert av våre LIC Aktuelt saker!
Her vil du finne alt fra produktnyheter til tips og triks, kliniske caser og relevant firmainformasjon.




OMNICHROMA-komposittene fortsetter suksessen i 2025!
OMNICHROMA har nok en gang mottatt den prestisjefylte utmerkelsen "Top Product Awards" fra fagbladet DENTAL ADVISOR.

Sand Tannlegesenter
Å velge A-dec uniter på klinikken var enkelt. Null nedetid, fantastisk ergonomi og optimal liggekomfort!
Venus PURE
Med de fire fargene i Venus Pearl Pure kan du imøtekomme pasientenes ønske, forenkle arbeidsflyten og opprettholde estetikken. NÅ også i FLOW!

PALIBRUSH
En spesialdesignet tannbørste utviklet av norske tannlegespesialister. Les mer om børstens gunstige design og funksjon her!


A-dec
A-dec er en produsent – ikke bare en montør. Les om A-Dec`s produksjonsprosess for dentalt utstyr!

Varios Combi Pro2
Med forbedret sub- og supragingival pulverterapi, trådløs Bluetooth®-fotkontroll og intuitivt smart-display, løfter Varios Combi Pro2 din behandling til et nytt nivå.

Daglig rengjøring av Varios Combi Pro
Daglig rengjøring og vedlikehold av maskiner på klinikken er viktig. Her finner du punker som kan hjelpe deg til bedre rutiner!



3M™ Clinpro™ Clear Fluoride
Endelig en fluorbehandling utviklet for pasientkomfort! Ingen klissete rester, ikke noe gult utseende, ingen strek lukt og ingen lang brukstid.

My LM-Activator™
En kjent, klinisk bevist tannskinne som allerede har blitt brukt i tidlig kjeveortopedisk behandling i over to tiår, nå tilgjengelig som en ny og forbedret produktlinje.

Velg riktig Antibac® overflatedesinfeksjon
Det finnes tre ulike produkter som er basert på etanol i serien. Hvilket produkt egner seg best for deg og din klinikk?

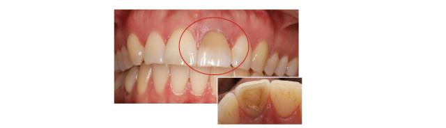
Case - Internbleking
Av: Tannlege Petter Gjessing Johnsen
Pasienten kommer grunnet ønske om å gjøre noe med tann 21. Tannen er tidligere rotfylt og har blitt misfarget ift. nabotenner, noe som plager pasienten.


Antibac® Premium Overflatedesinfeksjon 88%
Antibac® Overflatedesinfeksjon 88,8 % Premium er medisinsk utstyr som består av en unik blanding av alkoholer med full virucid effekt, i tillegg til at den er effektiv mot bakterier og gjærsopp.


Gavekort HealthySmile
HealthySmile er en profesjonell tannbleking, hvor du som tannlege kun tar avtrykket, vi ordner resten! Nå kan du også selge gavekort på HealthySmile på klinikken. Vi sender både reklameplakater og gavekort, ta kontakt!

Kundecase på nyheten Transcend
Ultradents Transcend-kompositt er et gedigent sprang framover for kompositter med universell farge.


Diatech Diamantbor - NY forpakning!
Diamantene har den samme gode kvaliteten og kommer nå i en mer brukervennlig blisterforpakning med standard fargekoder for diamanter iht. ISO 7711


Simplee Scalerspisser
Vi har nå fått inn Scalerspisser i Simpleesortimentet. Massevis av ulike typer scalerspisser som passer kjente systemer som du allerede har på klinikken.


Pressemelding
Oslo Dental AS blir fusjonert med LIC Scadenta AS fra og med 1. januar 2024, og LIC Scadenta blir et fullsortiment dentaldepot.

Kundecase, ScanOrder
Vi har oppnådd tidsbesparelse, mindre svinn, slanking av produktsortiment, kostnadsbesparelser og ikke minst så har vi nå full kontroll! Vi elsker det!

Hydragel - Kiilto Pro / Antibac
Havner du i situasjoner der instrumenter ikke blir rengjort umiddelbart etter bruk?

Strata-G seksjonsmatrise-system
Nytt seksjonsmatrise-system fra Garrison! Perfekt valg til komposittfyllinger!

Kundecase, Opalescence GO
This product is an excellent choice for patients with a nice dental arch, as well as patients without lots of dental restorations.

Kundecase, Opalescence Office
We receive a lot of positive feedback from happy patients who achieved a whiter and brighter smile thanks to Opalescence Office.



Antibac overflatedesinfeksjon - Nå CE-merket
Visste du at hele tannlegestolen er klassifisert som medisinsk-teknisk utstyr og må desinfiseres med CE-merkede desinfeksjonsprodukter?

AH Plus Bioceramic
Vi introduserer nå neste generasjon AH Plus sealer- AH Plus Bioceramic Sealer som er en tricalcium silicate basert sealer med bioaktive og antibakterielle egenskaper.
Top Dent - Vår egen merkevare
Det store utvalget inneholder mange produkter du bruker daglig på klinikken. Produktene kommer fra anerkjente produsenter og er produsert etter våre anvisninger, så de lever opp til alle gjeldende forskrifter og standarder.

ContacEZ Strip System
Med ContacEZ serien har du det komplette system til å møte alle pasienters behov. ContacEz kommer i tre ulike strip systemer; IPR Strip System, Restorative Strip System og Hygienist Strip System.

Miljøfokus
Vi i LIC Scadenta bryr oss om miljøet! For at våre kunder skal få miljøvennlige produkter, bruker vi mye tid på å undersøke hvor og hvem som kan gi oss de beste miljøvennlige alternativene.